腫瘍性病変が認められた場合、通常では確認されない血管が申請されていることが多いため、術中の出血リスクを軽減するために術前の評価としてCT検査が有用である。また、肝臓にはもともと大型の血管が付属しているため、正常にも存在する大血管とのかかわりも明らかになることは手術計画を立てる上でも重要となる。
肝臓腫瘍は良性であっても大型化することがあるため、検診で発見された腫瘍であっても、経過観察を行い拡大傾向にある場合には摘出という選択肢を考える必要がある。
実績詳細
フレンチブルドッグの肝臓に形成されたアポクリン腺癌(転移病巣)☑
| 種類 | フレンチブルドッグ |
|---|---|
| 年齢 | 10歳 |
| 診療科目 | 腫瘍科 |
| 症状 | 肝臓に腫瘍がある |
症状の概要
検査結果
症例は定期検査において肝臓に腫瘤性病変が認められた。
1か月ごとの経過観察を行ったが、拡大傾向にあるため、相談して摘出することとなった。
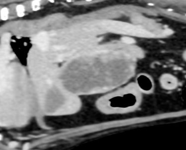
術前検査において、CTを撮影し肝臓の尾状葉に腫瘤が局在することを確認している
治療方法
腹部正中切開により肝臓腫瘍路露出し、尾状葉を腫瘤と共に切除した。

治療・術後経過
ーー以下病理所見

検索した肝臓では、悪性の上皮性腫瘍が形成されています。以前にアポクリン腺癌の既往歴があり、同様の組織像を呈していることから、その転移性の病変と考えられます。
マージン部に腫瘍性の病変は認められず、腫瘤の摘出状態は良好と考えられますが、進行した転移性の病変が形成されていることから、引き続き、転移の拡大について注意が必要です。
ーーーーーーーー
抜糸は無事終了し、外科療法は終了とした。
現在ご家族と今後の治療方針について経過を観察ながら相談している。
担当医:白井 顕治
お気軽に
ご相談ください
中志津本院043-462-1122 受付時間 9:00~11:30 15:00〜18:30
大崎台分院043-483-1212 受付時間 9:00~11:30 14:00~17:30
