症状から探す

歩き方がおかしいに関する診療実績

診療実績すべてを見る

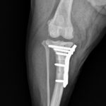
MIX犬(5.3kg)の右前十字靭帯断裂に対するTPLO術(脛骨高平部水平化骨切術)☑

TPLOで使用するプレートやスクリューなどのインプラントは、通常は体内にそのまま留置して問題ありません。多くの犬では一生涯除去する必要がなく、骨癒合後も違和感なく生活できます。 ただし、以下

チワワ(6kg)の左前十字靭帯断裂に対するTPLO術(脛骨高平部水平化骨切術)☑

🐾 術後の歩行開始には個体差があります TPLO術後の歩行開始の時期は、犬の性格・痛みの感じ方・手術前の筋力・年齢・環境などによって大きく異なります。翌日からしっかり足をつく犬もいれば、慎重

雑種犬(22kg)の左前十字靭帯断裂に対するTPLO術(脛骨高平部水平化骨切術)☑

🟦 前十字靭帯断裂:TPLOが推奨される理由について(まとめ) 前十字靭帯断裂の治療法にはいくつかの選択肢がありますが、現在の獣医整形外科では 体重や犬種にかかわらず、TPLO(脛骨高平部水

ビーグル(15kg)の左前十字靭帯断裂に対するTPLO術(脛骨高平部水平化骨切術)☑

🦴 TPLOとは何か? TPLO(脛骨高平部水平化術)は、前十字靭帯が切れることで生じる膝関節の不安定性を、骨の角度を調整することで安定させる手術方法です。脛骨の上部を専用のソーで円弧状に切

ヨークシャーテリア(4.4kg)の左前十字靭帯断裂に対するTPLO術(脛骨高平部水平化骨切術)☑

当院では、TPLO手術後の退院日を 術後2〜3日 に設定しています。これは、手術直後の痛みや腫れをできるだけしっかりコントロールし、入院中にアイシングや鎮痛管理を十分に行うことで、退院後の回

ミニチュアシュナウザー(7.8kg)の右前十字靭帯断裂に対するTPLO術(脛骨高平部水平化骨切術)☑

前十字靭帯断裂は、片足だけでなく 反対側の脚にも起こりやすい病気 です。1本目が切れてしまった時点で、もう片方も同じリスクを抱えていると考える必要があります。もし両側が断裂してしまうと、後ろ

トイプードル(4.3kg)の前十字靭帯断裂に対するTPLO術(脛骨高平部水平化骨切術)☑

トイプードルをはじめとする小型犬では、膝蓋骨脱臼(パテラ)と前十字靭帯断裂が深く関係していることが知られています。 膝蓋骨脱臼は、膝のお皿が内側または外側にずれる疾患で、軽度の段階では一時的

ヨークシャーテリア(6.9kg)の前十字靭帯断裂に対するTPLO手術(脛骨高平部水平化術)☑

犬の前十字靭帯断裂では、自然治癒は期待できません。そのため、関節の安定性を回復させるための外科的治療が基本となります。 治療法にはいくつかの種類がありますが、大きく分けて以下の2つの考え方が

トイプードル(3.4kg)の前十字靭帯断裂に対するTPLO術(脛骨高平部水平化骨切術)☑

前十字靭帯断裂というと、ジャンプや転倒などによる急な外傷を思い浮かべる方が多いかもしれません。 しかし、トイプードルのような小型犬やシニア犬では、実際には**外傷ではなく「靭帯の変性」によっ

雑種犬(20kg)の前十字靭帯断裂に対するTPLO術(脛骨高平部水平化骨切術)☑

前十字靭帯断裂は、年齢に関係なく治療を検討すべき疾患です。特に高齢犬では、「もう年だから…」と様子を見ているうちに関節炎が進行し、慢性的な痛みや歩行困難が固定してしまうケースが多く見られます

1 / 512345

お気軽に
ご相談ください

中志津本院043-462-1122 受付時間 9:00~11:30 15:00〜18:30

大崎台分院043-483-1212 受付時間 9:00~11:30 14:00~17:30

お問い合せフォーム
インターネットでカンタン相談

病院案内アクセス
駐車場有・近隣にコインパーキング有